脑血管疾病
病因流行
脑膜刺激征见于脑膜炎、蛛网膜下腔出血(最常见)、脑水肿及颅内压增高等
蛛网膜下腔出血三联征:头痛呕吐,血性脑脊液,脑膜刺激征阳性
颅内和椎管内血管畸形分为四种:①动静脉畸形;②海绵状血管畸形(E错);③毛细血管扩张(C错);④静脉畸形(D错),以动静脉畸形最常见,占血管畸形44%~60%(B对)。
蛛网膜下腔出血最常见原因是动脉瘤破裂出血,其次是动静脉畸形;
而最常见的脑血管畸形为动静脉畸形
大脑中动脉深穿支的豆纹动脉最容易出血😢有豆纹动脉选豆纹动脉,没有选大脑中动脉。豆纹动脉是大脑中动脉的分支,定位更具体
基底节 内囊区为脑出血好发部位。内囊和基底节区的豆纹动脉和旁正中动脉等深穿支动脉,自脑底部的动脉直角发出,承受较高的血流冲击,易导致血管破裂出血,因此内囊和基底节区(B对)是最常见部位高血压脑出血最常见的部位,约占高血压脑出血(ICH)的70%。
高血压脑出血破裂血管:基底核的豆纹动脉
深穿支:典型三偏+脑神经核
主干:严重三偏+意识障碍、深昏迷、脑疝等
➡️三偏综合征 :对侧偏瘫、偏身感觉障碍、同向性偏盲同时出现,核心是内囊受损。
大脑中动脉出血:
➡️分支(如豆纹动脉):高血压性脑出血的常见部位(易累及内囊,引发三偏)。
➡️主干出血:病情更重(除三偏外,常伴意识障碍、脑疝等)。
大脑中动脉深穿支:对侧偏瘫,NO偏盲?
大脑中动脉主干:三偏,失语
视神经经过外侧膝状体之后,来到内囊后肢,也就一个小斑点的大小,还比较靠后(内囊后部),豆纹动脉供应的是内囊的膝部和后支的前部,内囊后肢的后部由脉络膜前动脉供应。
所以大脑中动脉的深穿支,即豆纹动脉,如果是梗塞的话,不会造成偏盲。
至于为什么这题出现了偏盲,可能因为出血,面积会扩大,也会累积视神经的损伤。(属于纯看答案硬解释了)
三偏综合征累及血管:
脑梗死:大脑中动脉主干
脑出血:大脑中动脉深穿支(豆纹动脉)
本题的题眼在于定性,属于脑出血,而非脑梗死。如果是脑梗死,出现典型三偏综合征选大脑中动脉主干,但脑出血出现三偏提示内囊出血,最常见的血管就是豆纹动脉,而豆纹动脉则属于大脑中动脉深穿支。
脑栓塞:大脑中动脉
脑出血:大脑中动脉的豆纹动脉
蛛网膜下腔出血:颅内动脉瘤>AV畸形
硬膜外血肿:脑膜中动脉
硬膜下血肿:脑皮质表面小血管破裂
颅脑疾病最常见病因
脑梗死:动脉粥样硬化
脑出血:高血压
蛛网膜下腔出血:颅内动脉瘤
脑栓塞:房颤
颅脑血肿:外伤
颅脑骨折:外伤
脊髓肿瘤:
髓外: 神经鞘膜瘤
髓内: 神经胶质瘤
硬膜外:转移瘤
颅内肿瘤:神经胶质瘤
老年人最常见:转移瘤
既往风湿容易有瓣膜赘生物,又房颤,栓子脱落引起缺血性脑卒中
头颅CT未见异常应该可以排除脑出血,脑出血直接可以看到异常的。脑梗死要等24个小时以后才能看到异常。脑梗24小时后显示,48小时最明显
脑梗死是脑卒中最常见,
脑血栓形成是脑梗死最常见,
动脉粥样硬化是脑血栓形成最常见
脑血栓形成多见于中老年人,多在睡眠或安静状态下起病
脑栓塞年轻人多见。
脑血栓形成老年人多见
早餐早晨,安静时发作——脑血栓形成
运动发作——脑栓塞
情绪激动——脑出血
脑栓塞病因:房颤
脑血栓病因:动脉粥样硬化
脑出血病因:高血压
蛛网膜下腔出血:动脉瘤,血管畸形
脑卒中男多发,动脉瘤女多发。与性别因素相关的脑血管疾病最常见于脑卒中
女生雌激素多,血管易扩展。 类比肝硬化,雌激素灭活障碍,蜘蛛痣
蛛网膜下腔出血分为外伤性和自发性两种情况,自发性又分为原发性和继发性两种类型。原发性蛛网膜下腔出血主要见于动脉瘤性蛛网膜下腔出血,常见原因有颅内动脉瘤和血管畸形,还可见于高血压、动脉粥样硬化所致梭形动脉瘤及感染所致的真菌性动脉瘤等血管畸形。脑血管畸形范围(A对)、血压上升程度(C对)、颅内压变化(D对)、动脉瘤大小(E对)均于自发性蛛网膜下腔出血有关联。
脑血管畸形范围越广,血管壁越薄,越易导致蛛网膜下腔出血;血压上升程度越高,越易导致颅内的动脉瘤破裂;颅内压变化越剧烈,越易导致颅内的动脉瘤破裂;动脉瘤越大,越易破裂。性别(B错,为本题正确答案)与自发性蛛网膜下腔出血因素无明显关系,与性别因素相关的脑血管疾病最常见于脑卒中。
机制原理
皮质脊髓束 肢体运动
皮质核束 面部运动
脊髓丘脑束 浅感觉:痛温粗触觉,
薄束楔束 深感觉:位置运动震动,精细触觉
•内囊后肢: #三偏
- 对侧偏瘫(皮质脊髓束)
- 对侧偏身感觉障碍(深感觉-薄束楔束-内侧丘系,浅感觉-脊髓丘脑束)
- 同向性偏盲(同侧的视辐射)

皮质损伤➡️单瘫
内囊损伤➡️对侧偏瘫
脑干损伤➡️交叉瘫(病侧面瘫,对侧肢体瘫)
腔隙性脑梗死(E错)是指大脑半球或脑干深部的小交通动脉,在长期高血压等危险因素基础上,血管壁发生病变,最终管腔闭塞,导致供血动脉脑组织发生缺血坏死(P186)。
分水岭梗死:
相邻两血管供血区分界处缺血所导致的卒中类型是分水岭脑梗死,也称:边缘带脑梗死,多因★血流动力学异常所致。
动态起病—脑出血 脑栓塞
静态起病—脑血栓形成
脑缺血—脑缺血包括tia和脑梗死,脑梗死有脑血栓形成、脑栓塞。只不过里面以脑血栓形成为主,脑血栓形成多静态起病。
临床表现
脑干损伤➡️交叉瘫(病侧面瘫,对侧肢体瘫)
大脑脚综合征:见于中脑病变,表现为同侧动眼神经麻痹(上睑下垂、眼球向内向上向下活动受限),对侧肢体偏瘫
1:中脑
大脑脚综合征:同眼对肢
2:脑桥
闭锁综合征:仅眼球可动
3:延髓
延髓背外侧综合征:共济失调
脑桥出血的临床表现是迅速出现昏迷,并且瞳孔针尖样缩小,与题干描述不符。我们老师说大量出血时确实是针尖样瞳孔,但是少量出血时就表现为交叉瘫
TIA短暂性脑缺血发作:
①反复发作,临床表现差异不大
②临床症状一般不超过1h,最长不超过24h
③无任何责任病灶,理解小卒中
④不留神经后遗症,短暂性一过性损伤
⑤中老年好发,而且一般有基础脑血管病危险因素等。
反复发作➕时间(1小时内,24小时)➕房颤病史➕神经系统检查正常
患者初步诊断为短暂性脑缺血发作(TIA)。出现发作性命名物名困难,为命名性失语,其中枢部位于优势半球颞中回后部,由大脑后动脉供血(D对)。


一、颈内动脉系统:
◆ 大脑前动脉-人格情感障碍、运动性失语、对侧肢体无力。大脑前动脉(AB错)病变会出现截瘫、二便失禁、意志缺失、运动性失语综合征和额叶人格改变等表现(8版神经病P197)。
◆大脑中动脉-三偏
◆颈内动脉眼支-视物模糊、单眼黑矇失明
二、椎基底动脉系统:眩晕、平衡障碍、眼球运动异常和复视。椎基底动脉是给脑干、小脑供血的,损伤时会出现延髓背外侧综合征(出现眩晕,构音障碍,交叉瘫,共济失调)
◆小脑后下动脉(椎A)-延髓背外侧综合征/Wallenberg综合征
◆大脑后动脉(基底A)-命名性失语。大脑后动脉不属于颈内动脉,属于椎基底动脉。颞中回
大脑前动脉:情感障碍,对侧肢体无力
大脑中动脉:内囊 三偏
大脑后动脉:动眼神经
椎基底动脉:晕厥、平衡障碍
颈内动脉系统:偏瘫,运动性失语,单眼一过性黑矇
椎基底动脉系统:眩晕,命名性失语,双眼一过性黑矇
记忆:两个才能搞基
双眼—基底动脉
右眼一过性黑矇,(同侧单眼一过性黑矇,对侧偏瘫)因为颈内动脉可以发出眼动脉,同时发出大脑中动脉,导致上述症状
颈内动脉的眼支供血区缺血,可表现为单眼一过性黑朦。椎基底动脉系统TIA(B错)最常见表现是眩晕、平衡障碍、眼球运动异常和复视。可有单侧或双侧面部、口周麻木,单独出现或伴有对侧肢体瘫痪、感觉障碍。
第九版教材P175
-大脑前动脉:主干闭塞:运动性失语
-大脑中动脉:
1、皮质支上部分支闭塞:运动性失语
2、皮质支下部分支闭塞:感觉性失语
3、深穿支闭塞:皮质下失语中的底节性失语
蛛网膜下腔(C错)并非脑出血的发病部位,蛛网膜下腔出血是指颅内血管破裂,血液流入蛛网膜下腔引起的综合症。
诊断方法
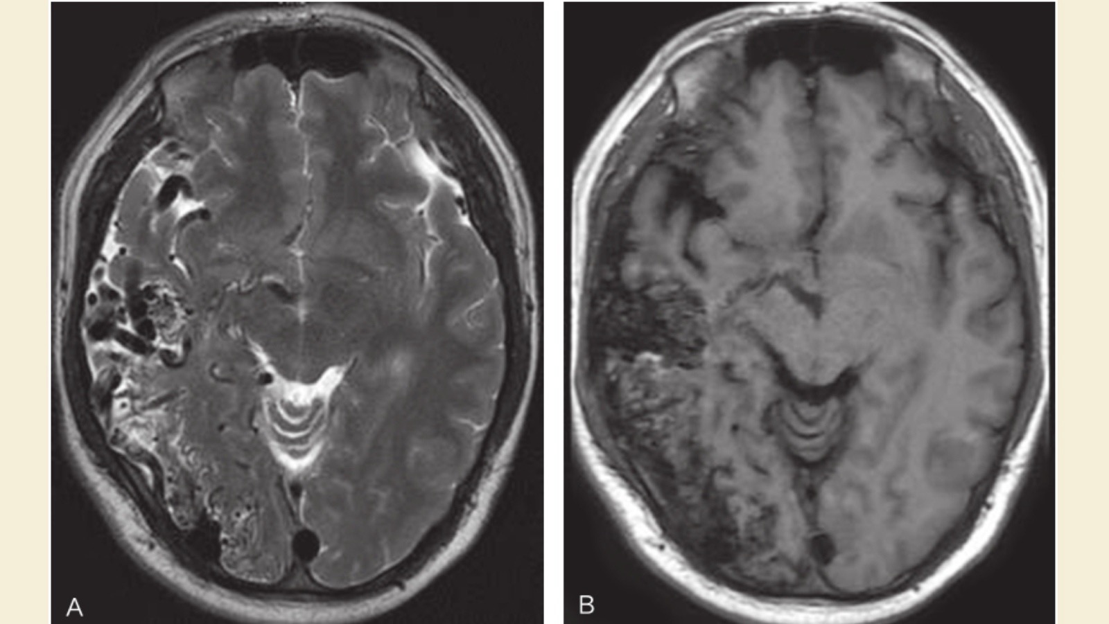
蜂窝样血管流空影,楔形——脑动静脉畸形
圆形流空信号灶脑——动脉瘤

颅内动脉瘤——囊状流空影
动静脉畸形——楔状流空影
- 蜂窝样血管流空影 + 楔形 → 脑动静脉畸形(AVM)
◦ 像一团乱麻:血管纠缠成蜂窝状,血流快,MRI上显示黑色“流空影”。
◦ 位置:多在大脑表面,形状像楔子(尖朝里,底朝外)。
◦ 危险:容易脑出血或癫痫。
- 圆形流空信号灶 → 脑动脉瘤
◦ 像气球鼓包:动脉壁薄弱鼓出一个圆泡,血流在泡里打转,MRI上显示单个黑色“圆点”。
◦ 位置:多在脑底大血管分叉处。
◦ 危险:破裂会突发剧烈头痛(蛛网膜下腔出血)。
蛛网膜下腔出血
诊断:剧烈头痛+脑膜刺激征阳性
首选:脑CT
确诊颅内动脉瘤、动静脉畸形:DSA(数字血管造影技术)
鉴别:颅内动脉瘤~囊状流空影;动静脉畸形~楔状/蜂窝状流空影。➕蛛网膜下腔出血不会偏瘫
治疗:首选血管内介入治疗
选DSA
诊断脑血管病的“金标准”!
蛛网膜下腔出血和化脓性脑膜炎早期均可颅内高压表现及脑膜刺激征。
腰椎穿刺查脑脊液(E对)可以很好的鉴别蛛网膜下腔出血和化脓性脑膜炎,前者表现为均匀血性脑脊液(特征性表现),后者表现为脑脊液压力升高、外观浑浊或呈脓性。
血白细胞总数和分类检查(A错)、抽血作细菌培养(D错)特异性和敏感性都不高,早期均可无阳性表现。
颅脑CT扫描(B错)均可出现阴性或同时检出蛛网膜下腔高信号。
反复测量体温(C错)受干扰性因素太大,且无特异性。
的确如你所说,理论与临床有时候差距还是很大的,像这道题可能临床呆惯了的人,绝大多数会选择出正确答案,事实上在临床,颅内压升高需要做腰穿的病人比比皆是,少量蛛网膜下腔出血CT阴性的不计其数,脑炎CT无特异性的也数不胜数,但是腰穿就可以很好的鉴别,一味的去记忆颅内压升高禁忌腰穿永远只能停留在纸面上,而临床充满着挑战与色彩。
三管试验法
均匀一致血色→蛛网膜下腔出血
前后依次变淡→穿刺损伤出血
离心变无色→新鲜出血
离心变黄色→陈旧性出血
云雾状→化脓性脑膜炎(细菌多)
米汤样→严重化脓性脑膜炎
放置后有纤维蛋白膜→结核性脑膜炎
外观黄,离体自动凝固→椎体梗阻(蛋白多,弗鲁安综合征)
微绿色→铜绿假胞/甲型链球
Mri:组织T1值越长,信号越低,图像呈深色。T2加权像上,T2值越长,信号越高,图像呈浅色。平时常说的长T1长T2信号,指的就是T1WI黑,T2WI白。再如,我们说的短T1长T2信号,指的是在T1WI和T2WI图像上均呈高信号。
T1WI:“短T1亮,高信号;长T1暗,低信号”
(看组织恢复初始状态的速度,快则亮、慢则暗);
T2WI:“长T2亮,高信号;短T2暗,低信号”
(看组织信号衰减的速度,慢则亮、快则暗)。
对了。。影像的表示急性梗死要用DWI序列看,T1T2早期看不出来的,但是这个在执医里貌似超纲了,所以不会这样考的。。出血的话感觉一般考的是T1高信号的(短T1),T2低信号的(短T2)比较典型。剩下的选项,大脑内出血的发生率高点,就选B了~
糖尿病该是出血吧
脑出血时MRI 急性期2-7天为等T₁、短T₂信号
#?
脑梗死用磁共振看得清楚,一般题目规律磁共振
T1高信号是出血
T2高信号是梗死
蛛网膜下腔出血:脑沟脑池高密度影
无症状性脑梗死:三无一有
三无:无病史,无症状,无体征
一有:影像学有表现
鉴别诊断
- 大脑,复合感觉,范围广。
- 小脑,运动障碍。小脑同侧支配,大脑对侧支配
- 小脑蚓部,躯干,闭目难立,醉酒样步态
- 小脑半球,肢体,指鼻不准,跟膝胫试验阳性
- 丘脑,肌张力不变,对侧偏身感觉丧失。自发性疼痛。浅感觉和深感觉的三级神经元都是丘脑腹后外侧核 由于浅感觉已经在白质前连合交叉 深感觉已经在内侧丘交叉 当对侧的深浅感觉均消失 考虑对侧的丘脑腹后外侧核病变
- 上丘脑表现为双侧瞳孔对光反射消失,眼球垂直同向运动障碍。瞳孔对光反射里,视束就是传给上丘脑发出上丘臂,所以上丘脑损伤是对光反射消失
- 下丘脑损害尿崩症。下丘脑不用多说,ADH感受晶体,相当于盐多加水,现在加水的东西没有了只能尿尿尿(崩了)
- 底丘脑损害表现为对侧上肢为重的舞蹈运动。基底节控制里,间接通路是苍白球外侧核传给丘脑底核(应该就是底丘脑吧),所以只有直接通路,手舞足蹈了
- 基底节,肌张力改变,运动异常。
壳核出血:内囊外侧,三偏征➕同向凝视不能
丘脑出血:内囊内侧,三偏征➕上视障碍
脑桥(交叉性瘫痪)
小脑(共济失调,多无瘫痪)
脑室出血(类似于蛛网膜下腔出血),双侧针尖样瞳孔
内囊/基底节:三偏
小脑:共济失调
脑桥:交叉瘫,双眼向患侧凝视。脑桥出血,不是向患侧凝视。而是向患侧凝视麻痹,向对侧偏视
脑室:针尖瞳,严重脑膜刺激
脑桥 脑室 小脑 都有针尖样瞳孔
丘脑 和壳核都有 无反应性瞳孔缩小和三偏
丘脑还有 上视障碍即鼻尖凝视
- 基底节是灰质,包括背侧丘脑、豆状核(苍白球和壳核)、尾状核。
- 内囊是白质。

内囊基底节出血→内囊总是三偏见,丘脑只有对偏身。
所以1️⃣基底节出血是三篇
2️⃣丘脑受损,只有对侧偏身感觉障碍
病灶对侧偏身瘫痪、偏身感觉障碍及同向性偏盲,还可出现双眼球向病灶对侧同向凝视不能(即双眼凝视患侧)
跌倒发作是椎-基底动脉系统TIA特殊表现的临床综合症,系脑干下部网状结构缺血所致,可见于患者转头或仰头时表现为下肢突然失去张力而跌倒,无意识丧失,常可很快自行站起。
转头☞TIA
不转头☞迷走神经张力高
患者男性,59岁,突发剧烈头痛伴恶心呕吐2天(颅内高压表现)。高血压病史10年,糖尿病病史8年,吸烟史30年(可为蛛网膜下腔出血的病因)。长期高血压及糖尿病吸烟史都可加速血管病变,最终导致突发的蛛网膜下隙出血。患者查体:神志清,对答切题。右眼睑下垂,右眼球上下及内收不能,右侧瞳孔直径5mm,左侧瞳孔直径3mm,右侧直接对光反射消失。提示患者可能蛛网膜下隙出血压迫视神经或者视放射。四肢肌力5级,腱反射消失。无感觉异常,病理征(-),颈抵抗(+)。提示出血压迫脊髓可能性大。综合患者的病史、症状及体查,应诊断蛛网膜下腔出血(A对)。
脑桥梗死(B错)可出现偏瘫、交叉性瘫。糖尿病性动眼神经麻痹(C错)患者突发复视现象,发病时患者常常因明显的视物重影而产生眼性眩晕等不适症状,瞳孔的间接或直接对光反射正常。
脑干脑炎(D错)常有前驱感染史,主要表现为多颅神经损害、共济失调、长束征、意识障碍。
海绵窦血栓形成(E错)病情急,来势凶猛,有头痛,表情淡漠或昏迷,因乳头导静脉充盈扩张而致耳后乳突部水肿,为海绵窦血栓的特有体征。
蛛网膜下腔出血最典型就是剧烈头痛!剧烈头痛!剧烈头痛!再一个就是喷射性呕吐,看到这两个词闭眼选蛛网膜下腔出血
四肢可活动自如,蛛网膜下腔出血描述用语!!!
看到颈抵抗就选了蛛网膜下腔出血
蛛网膜下腔出血: 剧烈头痛 脑膜刺激征 CT出血灶 腰穿血性脑脊液
女,65岁。活动中突发头痛、呕吐(活动中发病或情绪激动时发病为脑出血的表现),伴左侧肢体无力1小时。既往有高血压病史,未规律服药(高血压史,且未规律服药,为脑出血高危因素),查体:BP180/100mmHg,左侧偏瘫,综合考虑为脑出血(E对)。蛛网膜下腔出血(A错)好发于中青年人,常表现为突发剧烈头痛,脑膜刺激征,眼底出血等。脑栓塞(B错)多有风心病、冠心病等病史,无头痛呕吐,但局灶性神经系统体征在数秒至数分钟内达到高峰。短暂性脑缺血发作(C错)是颈动脉或椎-基底动脉系统发生短暂性血液供应不足,引起局灶性脑缺血导致突发的、短暂性、可逆性神经功能障碍。发作持续数分钟,通常在30分钟内完全恢复,超过2小时常遗留轻微神经功能缺损表现,或CT及MRI显示脑组织缺血征象。脑血栓形成(D错)多在安静或睡眠中发病,起病缓慢,多为非均等性偏瘫。
蛛网膜下腔出血不偏瘫 脑梗死、脑栓塞无头痛呕吐
脑栓塞虽然也有炎症渗出,但是一般默认是缺血表现。颅内压不高,没有头痛呕吐,但是脑出血会有头痛和呕吐。
蛛网膜下腔出血:肢体障碍不分左右
脑出血:肢体障碍分左右
临床上常见于后交通动脉瘤破裂,蛛网膜下腔出血
前交通=癫痫症状,额叶主要是情绪问题。
后交通,因为靠近外展和动眼神经,所以有动眼神经瘫表现,动眼神经支配除了外展,上斜。 所以会出现复试,上睑下垂,瞳孔光反消失。
颈内动脉瘤=外展,动眼,滑车,三叉表现,所有会有三叉神经第一支表现:痛性眼肌麻痹,就是说也有复视,上睑下垂,眼球外展位,但是他头疼!!!眼眶疼!!
大脑中动脉瘤=基底节脑梗死表现,可三偏:偏身感觉,运动等
蛛血:动脉瘤(最常见),颅内高压三联征,脑膜刺激征,急诊首选CT!和腰穿(完善CT后,降颅内压后行腰穿)
动脉瘤:DSA金标准
应该是动脉瘤破裂出血,动脉瘤压迫了动眼神经
动脉瘤性动眼神经麻痹—眼裂小 瞳孔大 对光消失(小、大、消)
霍纳综合征—眼裂小 瞳孔小 对光正常(两小)
重症肌无力—眼裂小 瞳孔正常 对光正常 (一小)
患者男,65岁(老年男性),熬夜后出现头痛、呕吐(颅内高压表现),随后逐渐陷入昏迷,行头颅CT提示颅内圆形高密度影(提示脑出血),考虑为脑出血。最可能的病因是高血压合并细小动脉硬化(B对)。高血压合并细小动脉硬化是老年人脑出血的常见原因,长期高血压可导致小动脉壁玻璃样变,管壁变薄,脆性增加,容易破裂出血,这与患者老年、熬夜后(可能导致血压升高)出现的症状相吻合。动-静脉血管畸形(A错)虽可导致脑出血,但多见于年轻人,其出血部位与形态和高血压脑出血有所不同,且CT或MRI上可见特征性的影像学改变。
动静脉血管畸形是楔形的,不是圆形的,但这道题确实挺无语
这道题是脑出血,结合老人是高血压动脉粥样硬化,豆纹动脉出血居多,
而脑动-静脉血管畸形是年轻人,蛛网膜下腔出血多见。我选错了呜呜呜。
动脉瘤 囊状流空
动静脉畸形 楔状
异常血管网 烟雾病
异常脑血管网形成( #脑烟雾病
小儿先天性颈内动脉狭窄→代偿性侧枝形成,脑底出现一堆血管网,叫烟雾病
并发症
治疗
1.非心源性栓塞/偶发 抗板
阿司匹林 氯吡格雷
2.心源性栓塞/频发 抗凝
抗凝首选华法林。华法林属于抗凝药,主要用于心源性栓塞性短暂性脑缺血发作(TIA),还用于频繁发作(A对)的TIA或椎-基底动脉系统TIA,及对抗血小板治疗无效的病例。
频繁华法林,偶尔阿司匹林.之前发作过的大多数用阿司匹林治过了,可是还频繁发作,就得选抗凝了,第一次治一般首选阿司匹林
静脉溶栓 4.5小时内 rtpa,6小时内尿激酶,24小时内动脉取栓,24小时后常规抗血小板或抗凝治疗。阿司匹林
4.5h以内~阿替普酶。重组人纤溶酶原激活剂(r-PA)
4.5-6h~尿激酶
6-8h 动脉溶栓
24h以内的大动脉闭塞可以考虑介入取栓
当然,溶栓取栓是建立在排除禁忌症之后,要是不溶不取,常规抗聚、调脂、营养神经
低分子右旋糖酐是增加胶体渗透压,进行扩容
扩容不等于扩血管,右旋糖酐属于胶体液,可以通过提高血浆胶体渗透压,使组织间液进入到血管中而扩容
吉兰巴雷:血浆置换>免疫球蛋白>糖皮质激素
视神经脊髓炎:糖皮质激素>免疫球蛋白>血浆置换
急性脊髓炎、视神经脊髓炎、多发性硬化首选大剂量糖皮质激素冲击
急进型肾小球肾炎—— 1型抗膜线条样——good pasture综合症 肺泡弥漫性出血——血浆置换
稳定心绞痛时禁止抗凝
一样的。血浆置换会加肝素,斑块会变得不稳定,易引起栓塞
他汀强化稳定斑块,我天天写病历,这都是常规治疗
高血压脑内血肿根据出血部位可以分为外侧型、内侧型和小脑型。
外侧型位于内囊外侧(大脑皮质下及壳核),手术时对脑组织损伤较小,术后并发症较少。
小脑型血肿位于小脑半球,易形成脑疝,宜尽早手术。
因此对于外侧型及小脑型出血病情稳定(E错)的,可经短时间非手术治疗及密切观察,病情继续加重(D对)时应手术治疗。
对于内侧型(丘脑、脑干)出血手术时脑组织受损严重,术后并发症多,不宜作为手术治疗的对象(ABC错)。
病情重出现深昏迷(ABC错)以及高龄且有系统性疾病者(如心、肺、肝、肾等严重疾病),不宜作手术治疗。